Follow Us

뉴스레터 구독하기

No Result
View All Result
수요일, 12월 24, 2025
  • 기사제보
  • 회사소개
Newswave25 | 뉴스웨이브25 신문사
  • 홈
  • 최신뉴스
    • 로컬
    • 미국 / 국제
    • 한국 / 연예 / 스포츠
  • 사회
  • 경제
    • 비즈
    • 부동산
    • 자동차
    • 보험
  • 주식
  • 건강
  • 문화
    • 여행
    • 푸드
  • 교육
    • 뉴스피드
    • 학원찾기
  • 종교
    • 교회소식
    • 선교지
    • 인터뷰
  • 오피니언
    • 칼럼
    • 독자마당
    • 인물
  • 뉴스웨이브 TV
  • 홈
  • 최신뉴스
    • 로컬
    • 미국 / 국제
    • 한국 / 연예 / 스포츠
  • 사회
  • 경제
    • 비즈
    • 부동산
    • 자동차
    • 보험
  • 주식
  • 건강
  • 문화
    • 여행
    • 푸드
  • 교육
    • 뉴스피드
    • 학원찾기
  • 종교
    • 교회소식
    • 선교지
    • 인터뷰
  • 오피니언
    • 칼럼
    • 독자마당
    • 인물
  • 뉴스웨이브 TV
Newswave25 | 뉴스웨이브25 신문사
No Result
View All Result
  • 홈
  • 뉴스웨이브25 TV
  • 최신뉴스
  • 로컬
  • 미국 | 국제
  • 사회
  • 경제
  • 비즈
  • 부동산
  • 자동차
  • 보험
  • 주식
  • 건강
  • 문화
  • 여행
  • 푸드
  • 교육
  • 종교
  • 오피니언
  • 칼럼
  • 독자마당
  • 인물
  • 한국 | 연예 | 스포츠
Home 건강

“근육량 많고 복부지방 적을수록 뇌 노화 속도 느리다”

by Newswave25
11월 25, 2025
in 건강
Reading Time: 1 min read

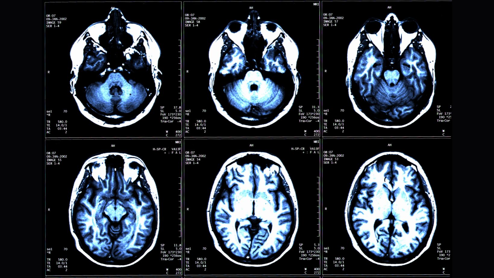
미 연구팀 “근육량·복부지방은 뇌 건강 지표…내장지방 줄이는 중요”

몸에 근육량이 많고 복부지방이 적을수록 뇌 노화 속도가 느려진다는 연구 결과가 나왔다. 그러나 피하지방은 뇌 노화 속도와 관련이 없는 것으로 나타났다.

미국 워싱턴대 의대 사이러스 라지 박사팀은 25일 전신 MRI로 건강한 성인 1천100여명의 근육과 지방, 뇌 조직을 촬영하고, 총근육량과 내장지방, 피하지방, 뇌 나이 간 관계를 인공지능(AI)으로 분석한 결과 근육량이 많고 내장지방 대비 근육 비율이 낮으면 뇌 노화 속도가 느린 것으로 나타났다고 밝혔다.

라지 교수는 “근육량이 많고 숨겨진 복부지방이 적은 건강한 신체를 가진 사람일수록 더 건강하고 젊은 뇌를 가질 가능성이 높은 것으로 나타났다”며 “더 나은 뇌 건강은 결국 알츠하이머병과 같은 미래의 뇌 질환 위험을 낮춘다”고 말했다.

이 연구 결과는 오는 30일부터 12월 4일까지 시카고에서 열리는 북미영상의학회 연례 학술대회(RSNA 2025)에서 발표될 예정이다.

복부 비만은 복강 깊숙이 위치해 주요 내부 장기를 둘러싸고 있는 내장지방이 많은 상태로, 내장지방은 피부 아래에 있는 피하지방에 비해 심결관 질환 등 질병 위험을 더 크게 증가시키는 요인으로 알려져 있다.

연구팀은 이 연구에서 뇌의 구조적 MRI 영상의 부위별 부피를 기반으로 추정한 뇌 나이와 전신 MRI로 측정한 총근육량과 내장지방, 피하지방 사이의 연관성을 인공지능 알고리즘으로 분석했다.

이들은 4개 지역 거주자 1천164명(평균 나이 55.17세)을 대상으로 전신 MRI를 촬영하고 이를 지방과 체액, 근육 등이 다른 색으로 보이게 하는 기법과 결합해 총근육량과 내장지방 피하지방, 뇌 나이를 정량화했다.

그 결과 총근육량이 많을수록 실제 나이가 더 적고 뇌 MRI로 계산한 뇌 나이도 더 젊은 것으로 나타났다. 총근육량과 실제 나이 및 뇌 나이 간 상관계수(rp)는 각각 -0.2579와 -0.2497로 약한 연관성을 보였지만 통계적으로 유의미했다.

내장지방 대비 총근육량 비율과 실제 나이 및 뇌 나이는 상관 계수가 각각 0.3755와 0.3797로 중등도 연관성을 보였다. 이는 내장지방이 많을수록 실제 나이와 뇌 나이가 모두 더 높아진다는 것을 의미한다.

그러나 피부 바로 아래에 있는 피하지방은 뇌 노화와 관련성이 없었다.

라지 박사는 “근육이 더 많은 사람이 더 젊어 보이는 뇌를 가진 반면, 근육에 비해 복부 지방이 많은 사람은 더 나이가 들어 보이는 뇌를 가지고 있었다”며 “즉 근육이 더 많고 내장지방대 근육 비율이 낮을수록 뇌 노화가 늦어진다”고 말했다.

이어 “연령 증가가 근육량 감소와 복부 지방 증가로 이어진다고 보통 알려졌지만, 이 결과는 이런 건강 지표가 뇌 노화 자체와도 연관된다는 것을 보여준다”며 “뇌건강을 위해 실천 가능한 목표는 근육을 늘리고 내장지방을 줄이는 것”이라고 덧붙였다.

◆ 출처 : RSNA 2025, Cyrus Raji et al., ‘HIGHER MUSCLE VOLUME IS INVERSELY RELATED TO CHRONOLOGICAL AND BRAIN AGE WHILE INCREASED VISCERAL TO MUSCLE FAT RATIO IS POSITIVELY RELATED TO CHRONOLOGICAL AND BRAIN AGE’, https://www.rsna.org/media/save-the-date

Tags: 근육내장지방뇌피하지방 #노화 브랜드뉴스 건강포커스
ShareTweet
Newswave25

Newswave25

Related Posts

건강

모기 암수 색깔 다르게 유전자 편집…감염병 통제 혁신 기대

12월 24, 2025
건강

모든 니코틴은 심혈관 독소…청소년 중독 방지 대책 시급

12월 23, 2025
건강

뇌의 발달·노화, 9·32·66·83세에 5단계로 진행

12월 23, 2025
건강

고지방 식단에 장기간 노출된 간세포, 암에 취약하게 변해

12월 22, 2025
건강

유방암 검진, 40세면 무조건?…”나이보다 ‘위험도’가 먼저”

12월 22, 2025
건강

욕하면 힘 난다?…”힘든 상황서 신체적 수행 능력 향상 효과”

12월 21, 2025
https://www.youtube.com/watch?v=vANVtj4X90Q

Wave25tv

Currently Playing

내가 가지고 있는 건강보험에 대해 얼마나 알고 계신가요?

내가 가지고 있는 건강보험에 대해 얼마나 알고 계신가요?

영상

세련된 스타일, 편안함, 최고의 입지 완벽하게 조화된 타운하우스

영상

마사지 잘못 받으면 병이 됩니다 건강하게 마사지 받는 방법

영상

생존율도 낮고 수술도 힘들다는 쉽게 넘어갈 수 없는 암, 췌장암(2)

영상

[언니들의 슬기로운 이민생활] 언슬이생 1화! 관세로 달라진 우리들 이야기

영상

뉴스레터 구독하기

  • 기사제보
  • 회사소개

© 2021 Newswave25 무단전재, 재배포 및 이용 (AI 학습 포함) 금지 - empowered by ApplaSo Software Company.

Welcome Back!

Login to your account below

Forgotten Password?

Retrieve your password

Please enter your username or email address to reset your password.

Log In

Add New Playlist

No Result
View All Result
  • 홈
  • 최신뉴스
    • 로컬
    • 미국 / 국제
    • 한국 / 연예 / 스포츠
  • 사회
  • 경제
    • 비즈
    • 부동산
    • 자동차
    • 보험
  • 주식
  • 건강
  • 문화
    • 여행
    • 푸드
  • 교육
    • 뉴스피드
    • 학원찾기
  • 종교
    • 교회소식
    • 선교지
    • 인터뷰
  • 오피니언
    • 칼럼
    • 독자마당
    • 인물
  • 뉴스웨이브 TV

© 2021 Newswave25 무단전재, 재배포 및 이용 (AI 학습 포함) 금지 - empowered by ApplaSo Software Company.

Are you sure want to unlock this post?
Unlock left : 0
Are you sure want to cancel subscription?
-
00:00
00:00

Queue

Update Required Flash plugin
-
00:00
00:00